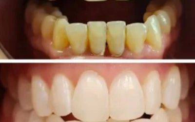
Tooth decay affects teeth, depriving them of health and beauty. But clinics that are equipped with advanced technologies can safely treat and completely restore teeth. Modern dental materials used in these clinics, allow for perfectly restored teeth, recreating their natural shape and color of natural tooth enamel. Scheduling a consult with your local Dentist Magnolia will help you decide if you are in need of this type of treatment.
Tooth decay is a pathological process manifesting in the demineralization and subsequent destruction of the hard tissues of the tooth to form a defect in the form of a cavity. Initial decay occurs mainly in places where conditions are favorable for the accumulation of plaque and deposits (fissures, cervical areas, etc.). Microorganisms mainly form colonies of dental plaques, and within 5-15 minutes, the conditions for the demineralization of tooth enamel are present. If no action is taken for the reverse of mineralization, it becomes a carious defect and further development of decay takes place.
During the caries process, a Dentist Magnolia can distinguish decay in two stages: early (stage spots – white pigmented) and the late stage (superficial, medium and deep cavities).
White spots. The enamel loses its natural color due to its subsurface demineralization (the surface layer of enamel is not changed). Cavities are asymptomatic and detected only when viewed as a white (chalky) or pigmented (brown to black) spots.
Surface caries. These occur in places of white or pigmented spots and are characterized by tissue destruction. It can be accompanied by short-term pain under the action of mechanical and thermal stimuli. For more details, visit website.
Deep caries. This process captures a significant portion of the dentin. Patients complain of short-term pain when exposed to mechanical, chemical and thermal stimuli. Progression of the transition leads to the development of pulpitis.
Caries treatment is possible at all stages. At the initial stage of tooth decay, it is sometimes enough for the dentist to use special techniques to carry out the restoration of dental tissues (re-mineralization). However, the localization of the defects in natural cavities or other issues on the contact surfaces must be dealt with before the filling of the cavity. For more information contact Gentle Dental Care today.



